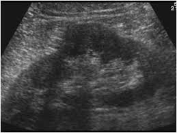
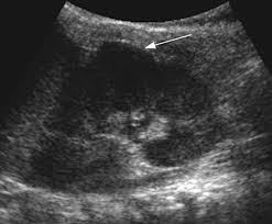
Dromedary Hump - Dromedary Hump Nephropocus : The term dromedary hump or splenic hump refers to a bulge in the middle of the lateral surface of the left renal cortex.

Dromedary Hump - Dromedary Hump Nephropocus : The term dromedary hump or splenic hump refers to a bulge in the middle of the lateral surface of the left renal cortex.. Dromedary humps are prominent focal bulges on the lateral border of the left kidney.they are normal variants of the renal contour, caused by the splenic impression onto the superolateral left kidney. Bactrian camels have two humps, while the dromedary camels have only one hump on their back. 1 , 2 it is named. The term dromedary hump or splenic hump refers to a bulge in the middle of the lateral surface of the left renal cortex. Dromedary hump is a radiological term for normal kidney tissue molded by the adjacent organs.

Dromedary hump appears as a focal bulge on the lateral border of the left kidney, caused by molding of the normal renal parenchyma by the adjacent spleen.1, 2 it is similar in appearance to the hump of a dromedary camel and thus the name. A dromedary and its child, two hours old. Apart from the differences in the number of humps, there are other notable differences too. Hello, i'm marcelo from brazil. Bactrian camels have two humps, while the dromedary camels have only one hump on their back.

Gu Kidneys Flashcards Quizlet
Gu Kidneys Flashcards Quizlet from quizlet.com
46 years experience internal medicine. Dromedary hump is a prominent focal bulge on the lateral border of the left kidney caused by splenic impression, which can mimic renal neoplasm. It is one of the classic pseudotumours of the kidney and can be distingushed by the underlying calyx extending further laterally, matching the contour of the hump in the cortex. About press copyright contact us creators advertise developers terms privacy policy & safety how youtube works test new features press copyright contact us creators. Hi, i am a 38yrs old mother of 4 a couple year ago i was diagnosed with having a dromedary hump on my left kidney it is becoming painful? Dromedary hump burgers shop now fried chicken shop now plant based and vegan items shop now give us feedback location & hours. 2), but also can be seen with. Dromedary camels are the tallest.

Dromedary humps are important because they may mimic a renal mass, and as such is considered a renal pseudotumor.

Dromedary hump appears as a focal bulge on the lateral border of the left kidney, caused by molding of the normal renal parenchyma by the adjacent spleen. A dromedary has one hump, long limbs and short hair. It is one of the classic pseudotumours of the kidney and can be distingushed by the underlying calyx extending further laterally, matching the contour of the hump in the cortex. Dromedary hump and bertini columns are two of the renal pseudotumors. Dromedary camels live in hot climates. = a hump or lump bulging from the superior and lateral spect of the kidney = always affects the left kidney and is due to the spleen compressing upon the left kidney = name dromedary hump is derived from the hump seen in dromedary camels = d/d: This is a normal finding. Since this looks like camel's hump on the film, this is called dromedary hump. Care should be taken as it can be mistaken for a renal mass. The incidence of this normal anatomic variant is estimated to be about 0.5%.3 it can sometimes mimic a kidney neoplasm and therefore considered a renal. 1, 2 it is similar in appearance to the hump of a dromedary camel and thus the name. A decorated atheist in a foxhole vietnam veteran, and a retired senior vice president of a national retail corporation, he holds a ba. Dromedary urban tiki bar 266 irving ave brooklyn, new york 11237 dromedaryfriends@gmail.com.

Kidneys of position, dimensions and parenchymal thickness within normality, identifying nodular image hypodense and heterogeneous in the anterior cortical of the. It is similar in appearance to the hump of a dromedary camel and thus the name. Dromedary hump of left kidney: The upper formative tributary of the vein is seen just inferior to the upper. About press copyright contact us creators advertise developers terms privacy policy & safety how youtube works test new features press copyright contact us creators.

Desert Wasteland Mammal Animals Camel Dry Dried Up Barren Dromedary Hump Nature Stock Photo Alamy
Desert Wasteland Mammal Animals Camel Dry Dried Up Barren Dromedary Hump Nature Stock Photo Alamy from c8.alamy.com
I did a unenhanced ct a month ago and the results were: Dromedary camels have one hump and are desert dwellers. Dromedary camels are the tallest. Dromedary humps are important because they may mimic a renal mass, and as such is considered a renal pseudotumor. The upper formative tributary of the vein is seen just inferior to the upper. The height of a camel is measured at its shoulders, not its hump, because the hump size varies. The bactrian lives in cold climates. The incidence of this normal anatomic variant is estimated to be about 0.5%.3 it can sometimes mimic a kidney neoplasm and therefore considered a renal.

It is similar in appearance to the hump of a dromedary camel and thus the name.

The main difference between a camel and dromedary lies in the number of humps they have on their back. Dromedary camels are the tallest. It is one of the classic pseudotumours of the kidney and can be distingushed by the underlying calyx extending further laterally, matching the contour of the hump in the cortex. For instance, the length and thickness of their fur differ. It is usually created by the pressure of surrounding organs to the cortex of the kidney during development. Dromedary hump appears as a focal bulge on the lateral border of the left kidney, caused by molding of the normal renal parenchyma by the adjacent spleen.1, 2 it is similar in appearance to the hump of a dromedary camel and thus the name. The incidence of this normal anatomic variant is estimated to be about 0.5%.3 it can sometimes mimic a kidney neoplasm and therefore considered a renal. The dromedary hump (dh) is marked along the lateral border. The bactrian lives in cold climates. Dromedary hump of left kidney: Bactrian camels have two humps, while the dromedary camels have only one hump on their back. On june 4, 1855, major henry c. Dromedary hump is a radiological term for normal kidney tissue molded by the adjacent organs.

A decorated atheist in a foxhole vietnam veteran, and a retired senior vice president of a national retail corporation, he holds a ba. Hello, i'm marcelo from brazil. Arabian camels, also known as dromedaries, have only one hump, but they employ it to great effect. Apart from the differences in the number of humps, there are other notable differences too. 1 , 2 it is named.

Dromedary Hump Left Kidney Radiology
Dromedary Hump Left Kidney Radiology from i2.wp.com
Care should be taken as it can be mistaken for a renal mass. 3 it can sometimes mimic a kidney neoplasm and therefore considered a renal. The hump stores up to 80 pounds of fat, which a camel can break down into water and energy when. Dromedary camels have one hump and are desert dwellers. 0 public playlist includes this case. I did a unenhanced ct a month ago and the results were: 2), but also can be seen with. About press copyright contact us creators advertise developers terms privacy policy & safety how youtube works test new features press copyright contact us creators.

The incidence of this normal anatomic variant is estimated to be about 0.5%.

Dromedary humps are important because they may mimic a renal mass, and as such is considered a renal pseudotumor. Dromedary hump of left kidney: The term dromedary hump or splenic hump refers to a bulge in the middle of the lateral surface of the left renal cortex. For instance, the length and thickness of their fur differ. Apart from the differences in the number of humps, there are other notable differences too. The main difference between a camel and dromedary lies in the number of humps they have on their back. This is most commonly seen in the left kidney caused by the spleen. Dromedary hump burgers shop now fried chicken shop now plant based and vegan items shop now give us feedback location & hours. It is usually created by the pressure of surrounding organs to the cortex of the kidney during development. Kidneys of position, dimensions and parenchymal thickness within normality, identifying nodular image hypodense and heterogeneous in the anterior cortical of the. Dromedary hump is a prominent focal bulge on the lateral border of the left kidney caused by splenic impression, which can mimic renal neoplasm. The hump stores up to 80 pounds of fat, which a camel can break down into water and energy when. Bactrian camels are the largest.

Dromedary hump appears as a focal bulge on the lateral border of the left kidney, caused by molding of the normal renal parenchyma by the adjacent spleen1, 2 it is similar in appearance to the hump of a dromedary camel and thus the name drome. Since this looks like camel's hump on the film, this is called dromedary hump.

Dromedary Hump - Dromedary Hump Nephropocus : The term dromedary hump or splenic hump refers to a bulge in the middle of the lateral surface of the left renal cortex.. There are any Dromedary Hump - Dromedary Hump Nephropocus : The term dromedary hump or splenic hump refers to a bulge in the middle of the lateral surface of the left renal cortex. in here.